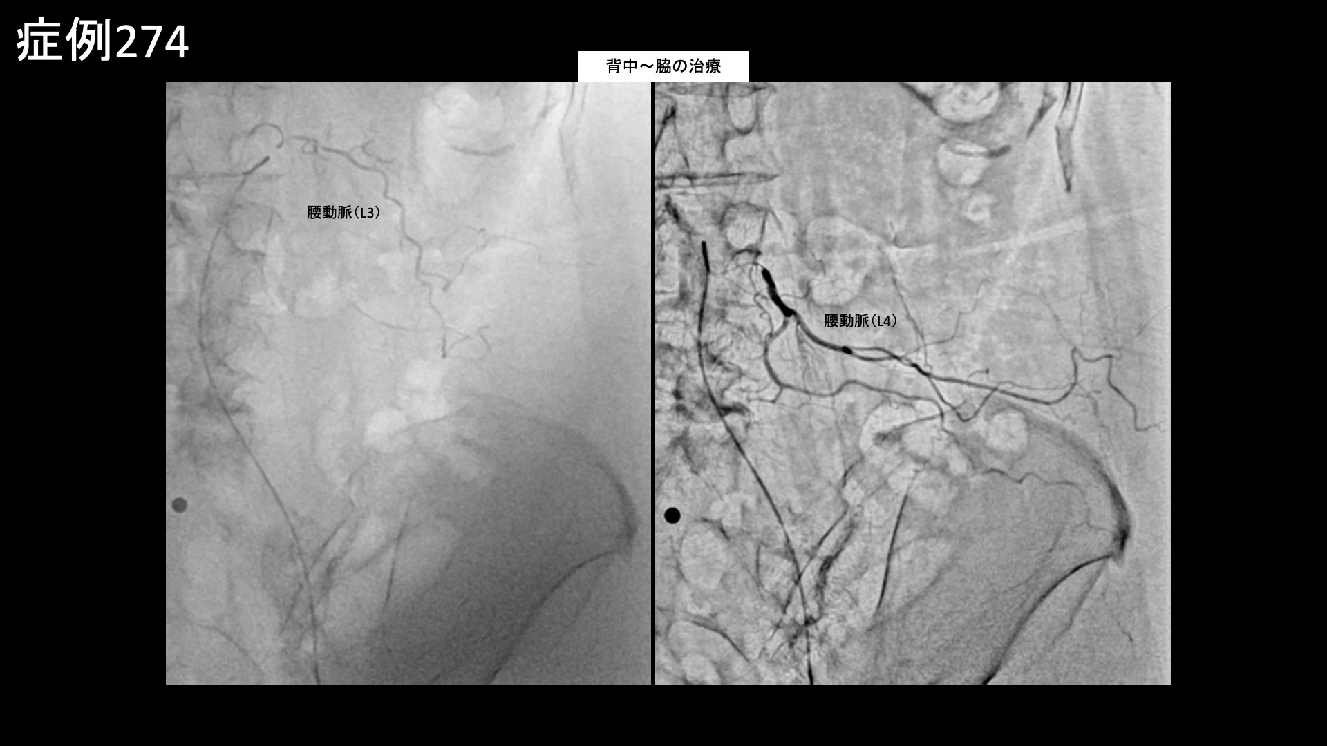
その他:帯状疱疹後など 【70代:女性】それほど目立たない発疹だったのにこんなに痛くなるなんて・・下腹部、脇腹に生じた発症1ヶ月半の帯状疱疹後神経痛 2026.03.27 鴨井院長による動画解説 受診までの経過 11ヶ月前から左肩が痛むようになり、整形外科や鍼灸院など複数の施設に通いました。3ヶ月くらいで治ると言われ、注射治療などを受けましたが、半年くらいでようやく少しおさまったものの腕はいっこうに上がりませんでした。それどころか右肩も痛くなり、夜間痛や起床時痛にも見舞われ、朝から気力を奪われてしまい、洗髪・洗顔など日常生活にも大きく支障をきたすようになりました。元々は毎日出かけたい性分でしたが、最近はどこにも行きたくなくなってしまうほどでした。 診察時の所見 発症1ヶ月半の帯状疱疹後神経痛であり、その他特段の治療抵抗要因(投薬治療を要する鬱の合併、極端な体重減少や『るいそう』、極端な活動性の低下や社会/家族との断絶、破局的思考、高度の貧血その他)は見られないことから治療による改善が見込まれました。治療適応と判断し、モヤモヤ血管(病的新生血管)に対する運動器カテーテル治療(微細動脈塞栓術)を受けていただきました。 治療の所見 下腹部の主要責任血管である下腹壁動脈、脇腹の主要責任血管である深/浅腸骨回旋動脈、さらに背中~脇腹に分布する腰動脈を順に治療しました。それぞれ一定の再現痛を確認しました。その他複数個所の治療を行い終了しました。 *再現痛とは、薬液投与時に普段の痛みが一定程度再現される現象です。責任血管の同定のための参考とします。 治療後の経過 治療後2週間で寝られるようになりました。背中の痛みはあまり感じなくなりました。治療後1ヶ月半、7-8割程度の痛みは改善しました。鎮痛薬を服用する頻度も減りました。治療後3ヶ月、痛みはほぼ消失しました。ゼロではないものの違和感程度になりました。腹部の痛みは治りにくいと聞いていたので、早く治療を受けて良かったと言われました。 当初の発疹はそれほど激しくはありませんでしたが、特に腹部の症状は強く感じていました。下腹部や脇腹は比較的敏感な部位であり、激しい発疹でなくても強くしつこい嫌な痛みが持続しやすいです。腹部は比較的治りにくい部位ですので、治療を決断されて良かったと思います。高齢になるほど回復に時間を要する傾向がありますが、早期に治療を受けていただいたことが早い回復につながったものと思われます。帯状疱疹後神経痛は難治の痛みの一つであり、その臨床経過にも様々なパターンがあります。今回は腹部の症状について取り上げました。ご参考にしていただければ幸いです。 帯状疱疹後神経痛の詳細はこちら 【30代:男性】マラソンランナーに生じた大腿裏付け根の痛み、ハムストリングス付着部炎に対するモヤモヤ血管治療(ハムストリングス付着部炎、仙腸関節障害) 前の記事 【40代:女性】常に陰部が腫れぼったく、下着が擦れるだけでもヒリヒリして座っていられない・・日常生活を完全に破壊されてしまった、新型コロナウイルス(Covid-19)に併発した発症3ヶ月の間質性膀胱炎および誘発性膣前庭炎に対するモヤモヤ血管治療(間質性膀胱炎、誘発性膣前庭炎、新型コロナウイルス(Covid-19))、Long COVID) 次の記事
その他:帯状疱疹後など 【70代:女性】事前診察で有効性について懸念されたものの、痛みを大幅に改善させることができた長期間に及ぶ帯状疱疹後神経痛の症例(帯状疱疹後神経痛(PHN)) 2022.10.08