鴨井院長による動画解説
受診までの経過
20年以上前から脊柱管狭窄症があり、8年前に腰椎固定術を受けました。手術後、腰痛や跛行症状が無くなり1年くらいは無事に過ごせていましたが、ほどなくして臀部や股関節に痛みが出るようになりました。杖なしで何とか歩けるものの、立っているのが辛く、台所に立つのも5分が限界でした。安静時にもじんじんと痛み、立ち上がる時には何かにつかまりながらでないと、すっと立つことができませんでした。座って背中をそらすと少し楽になりました。仰向けに寝るのも楽でしたが、夜間、痛みで目が覚めることがありました。脚の付け根から脛までキリキリと痛むほか、しびれもあり、同部に氷水が流れているように冷たく感じました。入浴すると痛みは少し緩和されるものの、感覚障害は変わりませんでした。タリージェは無効でした。かかりつけ医より、モヤモヤ血管治療をすすめられて当院を受診しました。
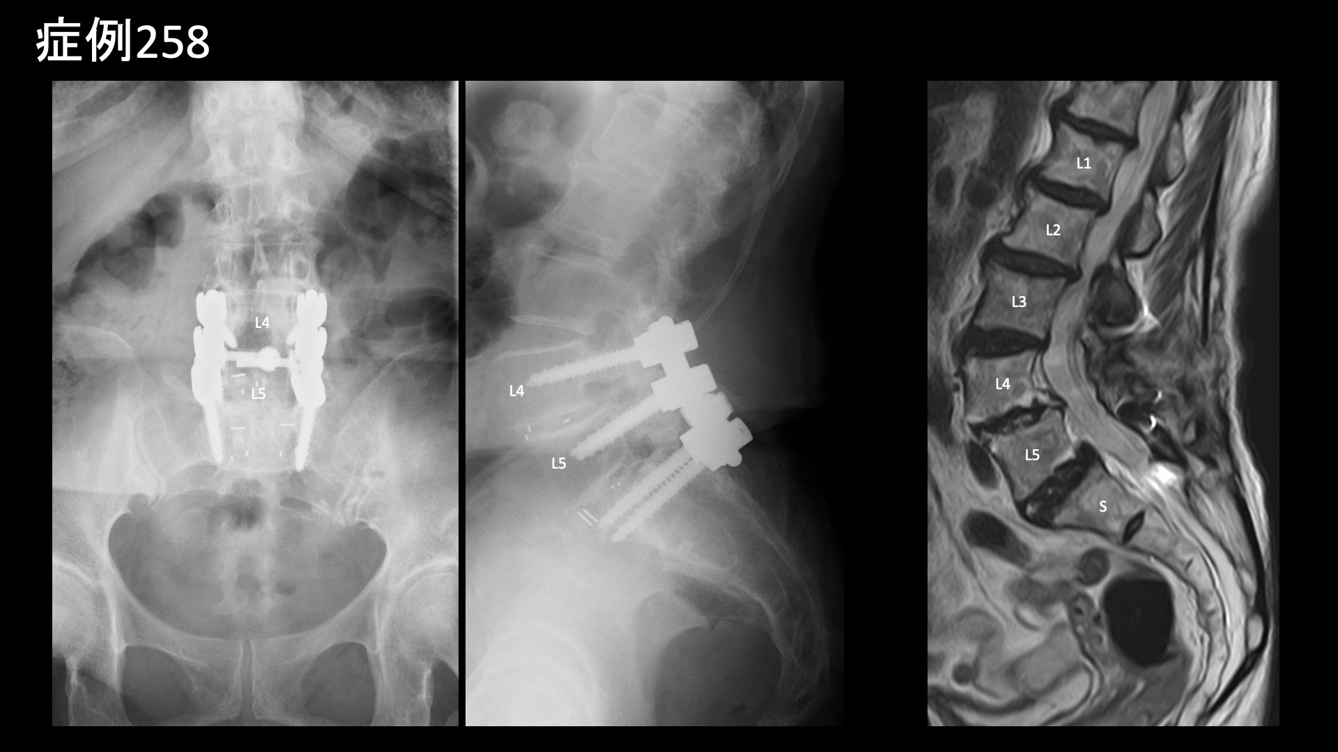
診察時の所見
腰の可動域をチェックすると、前屈以外は全て高度に制限されていました。股関節の内外旋は可能でしたが、外旋時に鼠径部痛が誘発されました。L3/4,L4/5椎間関節、棘間靭帯に圧痛を認めました。さらに、上後腸骨棘(PSIS)、梨状筋、鼠径部、大腿外側に強い圧痛を認めました。レントゲンでは腰椎固定術後の様子を確認したほか、仙腸関節の骨硬化像、軽度の股関節変形を認めました。以上より総合的に判断し、仙腸関節障害、両側変形性股関節症、筋・筋膜性疼痛症候群、腰椎性腰痛(椎間関節炎、棘間靭帯炎)および両側坐骨神経障害(腰椎固定術後、脊柱管狭窄)の合併状態と診断しました。重症、高齢であり、複数回の治療を要する可能性があること、一定の症状は残存すること(特にしびれなどの感覚障害)などを十分ご理解いただいたうえでモヤモヤ血管(病的新生血管)に対する運動器カテーテル治療(微細動脈塞栓術)を受けていただきました。
治療の所見
固定術近傍を含めて腰椎レベル~股関節周囲レベルの両側併せて20か所程度の血管を治療しました。特に苦痛なく45分程度で終了しました。
治療後の経過
右膝は治療後すぐから痛みが改善しました。左膝は2週間の経過で、全体的な痛みから前側に痛みを意識するように部位が変わりました。その後、右足首の痛みが改善し、たまに痛くなる程度となりました。治療後2ヶ月程度で左踵の痛みが無くなりました。しかしながら、その後も左膝の一定の痛みが持続し、エコーでもまだ左膝には水が溜まっている状態でした。しばらく注射加療を継続しましたが、水腫は残存していました。
当初に比べると痛みが半分程度にはなっているものの、初回治療効果としてのこれ以上の改善は限界と判断し、治療後5ヶ月の時点で2回目の治療を行いました。血管造影を行うと、両膝・両足ともモヤモヤ血管は初回に比べて減少しており、特に左足首で顕著でした。写真では、初回治療後5ヶ月以上経過していてもモヤモヤ血管が大幅に減少している状態であることがわかります。残存していた(あるいは新規に増生した)モヤモヤ血管に対して追加治療を行いました。治療後2週間、エコー検査では右膝の水腫は消失、左膝もごく軽度にまで減少しました。右膝や右足首にまだ痛みの訴えがあったため注射加療を行いました。治療後2ヶ月、画像上、炎症所見は大幅に減少し、溜まっていた水は無くなりました。確かに追加治療効果が得られ、右膝・右足首の痛みは消失したものの、今度は左膝の内側の痛みが気になるということでした。2回のカテーテル治療を経て、膝に水が溜まらない程度までは回復しましたが、膝関節の変形が比較的高度であること、足関節も患っていること、肥満があることなどが障害となっていました。足関節の痛みや踵の痛みはほぼ解消されましたが、特に足首は再発リスクが懸念されました。今後は人工膝関節置換術を少しでも先延ばしできるよう、体重減少に努めていただき、増悪時に受診していただくこととしています。
比較的高度に進行した変形性膝関節症に変形性足関節症、足底筋膜炎を合併した重症の症例でした。全ての元凶は肥満ですが、こうなってくるとまさに八方塞がりになってしまいます。足首の痛みまで合併するようになると要注意です。2回のカテーテル治療により、歩容が改善し、平地歩行も可能となりましたが、一定の痛みは残っています。それぞれの変形が高度に進行する前に受診していただくことをおすすめいたします。


